GDPLANT DENTAL CLINIC
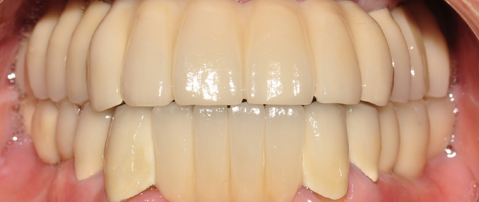
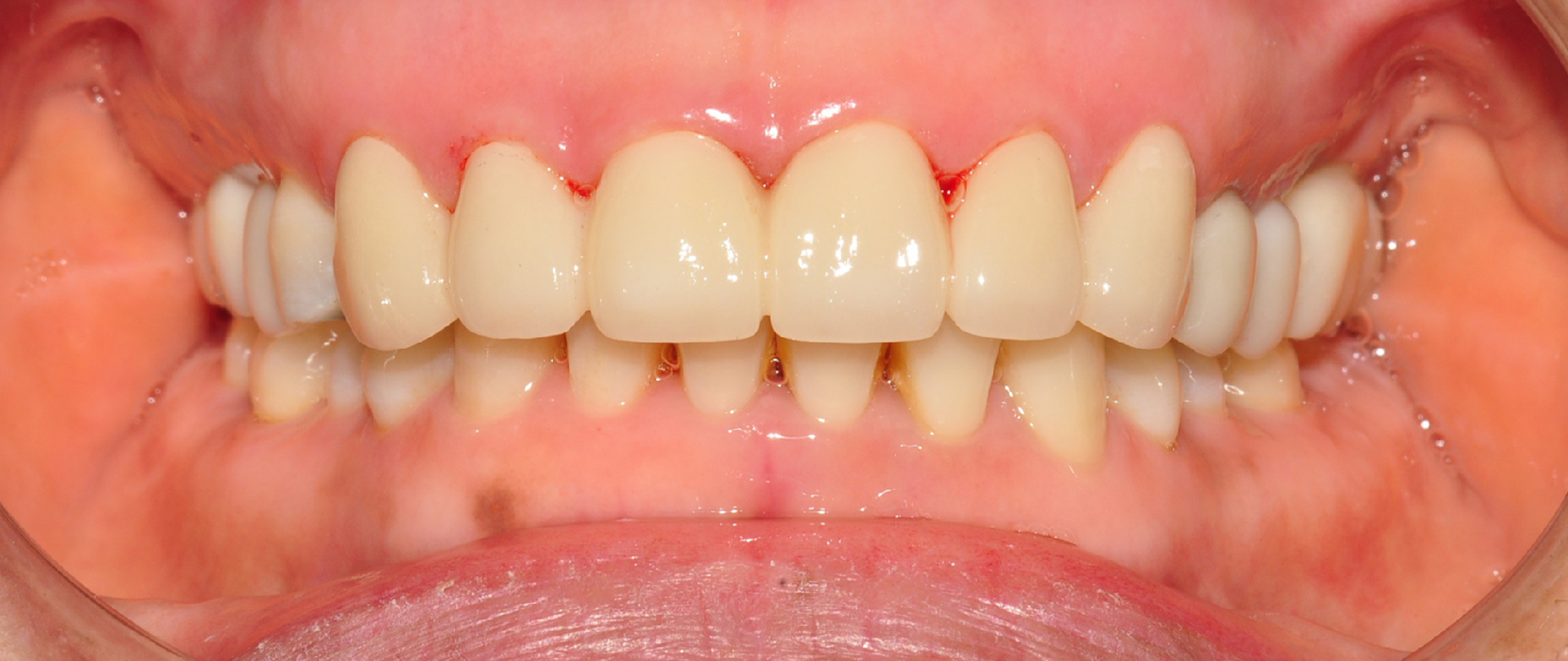
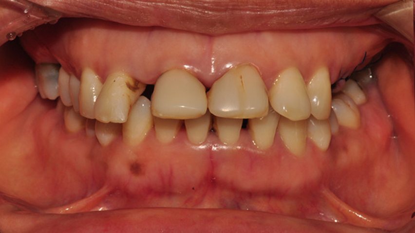
결과로 증명하는 임상
수술에 대한 두려움, 기간, 실패에 대한 걱정까지.
상황에 맞는 개별 맞춤 임플란트

GDPLANT DENTAL CLINIC
SPECIAL MEDICAL STAFF
숙련된 의료진,
수준높은 치료를 추구합니다.
치위생사
진료팀원내 디지털
전문 기공사전문
소독 인력
20년간의 오랜 경험에 안주하지 않고 늘 새롭게 연구하고 고민해야만, 환자 한분 한분의 상황에 가장 적합하고 안전한 임플란트 치료를 제공할 수 있습니다. 그래서 치료를 넘어 사람을 먼저 생각한다는 원칙을 꼭 지켜나가겠습니다.
대표원장 약력
- 일본악교합학회 인정의
- 대한턱관절교합학회 인정의
- 대한통합치의학회 통합치의학 치과전문의
- 대한구강악안면임플란트학회 우수회원
- 대한치아이식임플란트학회 우수임플란트임상의 정회원
- 대한인공치아골유착학회(KAO) 경기지부 이사
- 한림대 임상치과학대학원 보건학과 겸임교수
- 카톨릭대 임상치과학대학원 치과교정학과 수료 (석사 학위)
- SOCOr 교정연구회 세미나코스 Active Member
- C-TUBE 교정연구회 USER GROUP 재무이사
GDPLANT DENTAL CLINIC
편안하고 안전한 시설과
디지털 장비
청결과 안전, 철저한 멸균 소독, 보이지 않는 곳까지 관리
01
당신을 위한 단, 하나의 치과

환자의 편안함을 최우선으로 생각하며
현대적인 시설과 세심한 배려로 안락한 치료 환경을 제공합니다.
02
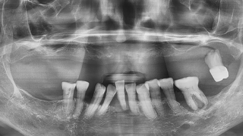
3D CT 콘빔 CT

오차 없는 진단과 적합한 치료계획 수립이 가능하도록 만들고
원하는 결과물을 얻을 수 있는 디지털 워크 스테이션입니다.
03
숙련된 의료진의 1:1 주치의 시스템

풍부한 임상겸험이 말해주는 임플란트 수술의 차별화,
현란한 포장보다는 오직 실력으로 보답하겠습니다.
04
구강 스캐너 및 모델 스캐너

정밀한 디지털 데이터로 환자분의 불편을 최소화하고
치료 정확성을 높입니다.
05
철저한 감염방지 소독 시스템

모든 의료기구 및 장비를 철저히 멸균하여 관리하고 있으며
감염을 미연에 방지하는 철저한 감염방지 시스템을 구축하고 있습니다.
06
편안한 마음으로 부담없는 상담

따뜻하고 안정된 분위기의 상담실에서
부담없이 친절하게 상담받으실 수 있습니다.

02. 2066. 7528
경기도 광명시 오리로 856
한복빌딩 4층
-
월,목,금
오전 10:00 - 오후 06:30 (평일진료)
-
수요일
오전 10:00 - 오후 08:30 (야간진료)
-
점심시간
오후 01:00 - 오후 02:00
-
토요일
오전 10:00 - 오후 02:00 점심시간 없음
목,일요일 공휴일 휴진